آشنایی با مبانی ریاضیات نسبت طلایی
Golden Ratio
با هدف کاربرد آن در زیبایی شناسی دندان Aesthetics

نسبت طلایی یک رابطه ریاضی است که در آن مجموع دو عدد (a+b) تقسیم بر عدد a مساوی با a/b می شود. در این فرمول، اگر a برابر 1 باشد، b تقریباً 0.618 است.

همچنین می توانید نسبت طلایی را با استفاده از دنباله فیبوناچی تعریف کنید. دنباله فیبوناچی به عنوان دنباله ای تعریف می شود که در آن هر جمله به عنوان مجموع دو جمله قبلی تعریف می شود که با 0 و 1 شروع می شود.

نسبت هفت جمله اول در دنباله 0،1،1،2،3،5،8 به سمت همگرایی برای تشکیل نسبت طلایی گرایش پیدا می نمایند.مشاهده می شود که نسبت شروع به همگرا شدن با نسبت طلایی می گردد. نسبت 3:2=1.5، 5:3=1.67، 8:5=1.6. بنابراین می توانید ببینید اگرچه به عقب و جلو پرش می کند اما به عدد نزدیک و نزدیکتر می شود و چند ترم بعد 55:34=1.618 داریم. اگر هر ترم این رشته را بر ترم قبلی اش تقسیم کنیم، نسبت طلایی بدست میاید و هر چه که دو ترم انتخاب شده بزرگتر باشند خارج قسمت آنها به مقدار تحقیقی نسبت طلایی نزدیکتر میشود.
البته اجباری نداریم رشته فوق را با صفر شروع کنیم، میتوانیم آنرا با هر عدد مثبت دلخواهی( بعنوان ترم یکم )شروع کنیم وآنرا با عدد قبلی اش جمع نماییم تا ترم دوم بدست آید و این ترم را نیز با ترم قبلی اش جمع کنیم تا ترم سوم حاصل شود.
این رشته البته دیگر رشته فیبوناچی نیست و ما میتوانیم مثلا" نام خودمان را روی آن بگذاریم! بعنوان مثال اگر ترم اول را 81 انتخاب کنیم، آنگاه خواهیم داشت : 81, 161, 242, 403, 645, 1048, …
در اینجا نیز اگر هر ترم را بر ترم قبلی اش تقسیم کنیم، خارج قسمت، "نسبت طلایی" خواهد شد و هر چه جلوتر برویم این نسبت دقیقتر میشود.

centered image


centered image

عدد نسبت طلایی Golden Ratio چه ارتباطی با زیبایی چهره‌ دارد؟

همه‌ی ما بدون آنکه متوجه باشیم زیبایی چهره‌ی افراد را بر اساس تقارن و تناسب صورت تعیین می‌گردد. تحقیقات نشان داده‌اند درک ذهن انسان از زیبایی برقرار بودن عدد طلایی یا نسبت 1.618 است. هرچه نسبت‌های محاسبه شده‌ی صورت به این عدد نزدیک‌تر باشد، صورت فرد زیباتر به نظر می‌رسد. مثلا هر چقدر عدد حاصل از تقسیم طول صورت (فاصله‌ی بین بالای سر تا چانه) به عرض سر به عدد 1.618 نزدیک‌تر باشد، صورت جذاب‌تر به نظر می‌رسد. در حقیقت ایده‌آل‌های زیبایی با در نظر گرفتن نسبت طلایی تعیین می‌شود. امروزه بسیاری از پزشکان در سراسر دنیا موزون سازی چهره (لبخند ، دندان ها و لب ها قسمتی از چهره می باشند) را بر اساس همین عدد انجام می‌دهند. چون اگر عدد فی عدد طلایی که عدد فی phi هم نامیده می‌شود، نسبت طلایی ریاضیات است که با عدد فیبوناچی ارتباط نزدیکی دارد اگر در اقدامات زیبایی رعایت نشود، چهره‌ی فرد نه تنها بهتر نمی‌شود بلکه تقارن آن هم از بین می‌رود.


centered image


centered image

در زیبایی شناسی دندان ها Aesthetics Dental ، نسبت طلایی Golden Ratio باید در دندان های جلویی دارای عرض زیر باشند

ثنایای مرکزی 1.618 برابر بزرگتر از لترال است.ثنایای جانبی 1.618 برابر بزرگتر از نمای قابل مشاهده است.

بخشی از نیش که از محور عمودی دیده می شود. ازهمان پرسپکتیو قسمت قابل مشاهده کانین 1.618 است. چهار دندان ثنایا همچنین لبی و کام طرفین قسمت های تاج دندان های جلو دارای روابط نسبت طلایی به شرح زیرهستند: سطح لبی ثنایای مرکزی به دو قسمت تقسیم می شود. یک خط در منطقه 1 تا 1.618. قسمت 1.618 تخت است. قسمتی به سمت لثه گرد است. نسبت های پسین و طلایی عرض کل یک مولر یا پرمولر 1.618 برابر است. دندان های آسیاب 1.618 برابر عرض دندان های جلویی پایینی است.

centered image


رابطه نسبت طلایی Golden Ratio در زیبایی شناسی Aesthetic دندان به دندان

نسبت طلایی نشان می دهد که عرض ثنایای مرکزی متناسب با عرض ثنایای جانبی دارای نسبت طلایی است. دندان ثنایای جانبی به همان نسبت طلایی با دندان نیش در عکس مجاور و دندان نیش است. فرآیند نسبت های طلایی ثنایای مرکزی 1.618 برابر بزرگتر از لترال است. بخشی از نیش که از محور عمودی دیده می شود. از همان پرسپکتیو قسمت قابل مشاهده کانین 1.618 است. چهار دندان ثنایا همچنین لبی و کام طرفین قسمت های تاج دندان های جلو دارای روابط نسبت طلایی به شرح زیر می باشند: سطح لبی ثنایای مرکزی به دو قسمت تقسیم می شود ، یک خط در منطقه 1 تا 1.618. قسمت 1.618 تخت است. 1 قسمتی به سمت لثه گرد است. نسبت های پسین و طلایی عرض کل یک مولر یا پرمولر 1.618 برابر است. بزرگتر از فاصله متقاطع کاسپیدهایشان. را فاصله بین دیواره باکال دو قسمت اول پایین تر است دندان های آسیاب 1.618 برابر عرض دندان های جلویی پایینی است.

فاكتورهاي زيبايي دنداني مثل نسبت تاج يا تقارن در عرض ميدلاين را نيز ميتوان با اين نسبت طلايي محاسبه كرد. در لبخند زيبا نسبت عرض ظاهري دندان سنترال به لترال ماگزيلا : 1/62 و نسبت عرض ظاهري دندان لترال به كانين 1:1/62 و همچنين نسبت عرض به ارتفاع در دندان 0/62 ميباشد. به دليل تاثير زياد زيبايي دندان روي ظاهر صورت و كيفيت زندگي افراد، طرح درمان بر مبناي اين خصوصيات ميتواند زيبايي و فانكشن بهتري ايجاد كند.

centered image


اندازه گیری ها نسبت طلایی Golden Ratio

نسبت طلایی برای هر آزمودنی به این ترتیب اندازه‌گیری شد: عرض ثنایای مرکزی در 62% ضرب شد و با عرض ثنایای جانبی مجاور مقایسه شد.

مقادیر مشابه نشان می دهد که عرض ثنایای مرکزی نسبت طلایی به عرض دندان ثنایای جانبی است.

با مقایسه عرض دندان ثنایای جانبی ضربدر 62 درصد با کانین می توان تشخیص داد که آیا پهنای ثنایای لترال با عرض نیش نسبت طلایی دارد یا خیر.

درصد طلایی با تقسیم عرض هر دندان ثنایای مرکزی، لترال و نیش بر عرض کل شش دندان قدامی فک بالا و ضرب مقدار حاصل در 100 محاسبه شد تا درصد طلایی برای هر دندان به دست آید.

اگر مقادیر کانین تا نیش 10، 15، 25، 25، 15 و 10 درصد بود، نشان دهنده این است که شش دندان قدامی فک بالا در درصد طلایی هستند.

centered image


برای ارزیابی نسبت طلایی Golden Ratio ضرورت دارد نقاط زیر برای محاسبات مقادیر نسبت طلایی مشخص گردد

1 - نوک چانه. 2- نقطه پایین لب پایین. 3 – مرکز دهان، به عنوان نقطه انسداد لب ها روی خط تقارن صورت. 4 - گوشه سمت راست دهان. 5- نقطه سمت راست صورت در سطح خط دهان. 6 - نقطه دور لب بالا روی خط تقارن صورت. 7 - نقطه بسیار پایین بینی. 8– نوک بینی (روی خط بینی). 9 - نقطه منتهی به سمت راست بینی روی خط بینی. 10- نقطه سمت راست صورت روی خط بینی. 11 - نقطه وسط قسمت مجاور مراکز مردمک چشم. 12 - گوشه چپ چشم راست. 13 - نقطه پلک تحتانی چشم راست عمود بر خط چشمی که از مردمک چشم راست می گذرد. 14 - گوشه سمت راست چشم راست. 15- نقطه سمت راست صورت روی خط چشم. 16 - نقطه پلک فوقانی چشم راست عمود بر خط چشمی که از مردمک چشم راست می گذرد. 17 - نقطه مرکزی ابروی راست. 18 - نقطه سمت راست صورت روی خط ابرو. 19 - نقطه فوقانی دور پیشانی در خط تقارن صورت. 20 – نقطه ای که مرکز مردمک چشم راست را مشخص می کند. 21 – گوشه سمت راست دهان. 22– نقطه سمت چپ صورت در سطح خط دهان. 23 - نقطه انتهایی سمت چپ بینی روی خط بینی. 24 - نقطه سمت چپ صورت روی خط بینی. 25– گوشه راست چشم چپ. 26 – گوشه چپ چشم چپ. 27 – نقطه سمت چپ صورت روی خط چشم. 28 – نقطه مرکزی ابروی چپ. 29 – نقطه سمت چپ صورت روی خط ابرو. 30– نقطه ای که مرکز مردمک چشم را مشخص می کند.


centered image


چگونه از نسبت طلایی Golden Ratio برای اندازه گیری لب ها و دندان ها استفاده کنیم؟

هر قسمت از اجزای صورت باید بر طبق نسبت طلایی اندازه گیری شوند. این به این معنی است که فاصله نواحی از صورت باید 1.618 برابر هم باشند. به موارد زیر دقت نمایید. فاصله از بالای بینی تا مرکز لب باید 1.618 برابر فاصله از مرکز لب تا چانه باشد. نسبت ایده آل حجم لب های پایین به حجم لب های بالایی باید 1:1.6 باشد؛ یعنی لب های پایینی 1.6 و لب های بالایی 1 می باشند. فاصله بین دندان ها نیز در زیبایی نقش دارد. در نسبت طلایی، فاصله دو دندان جلویی باید 1.618 برابر ارتفاع دندان ها باشد.

centered image


افزایش سن و تغیرات در اندازه نسبت طلایی Golden Ratio صورت جهت زیبایی شناسی Aesthetics

در صورتیکه بر اساس نسبت طلایی صورت یک فرد ارزیابی گردد برای مثال نمره X حاصل نماید ، امکان دارد بر اثر پارامتر زمان در اندازه گیری مجدد مکان های ، فاصله بین دهان و بینی، و پهنای دهان و بینی با افزایش سن افزایش ‌یابد. این بدان معنی است که با افزایش سن، حتی چهره هایی که قبلاً متقارن در نظر گرفته می شدند، تمایل به انحراف از نسبت طلایی دارند. علاوه بر این، با افزایش سن، چربی اطراف چشم‌ها، استخوان‌های گونه، خط فک داخلی و کناره‌های صورت از بین می‌رود و باعث می‌شود صورت ما حجم خود را از دست بدهد و ظاهری توخالی و گودافتاده در بیماران ایجاد شود.

centered image


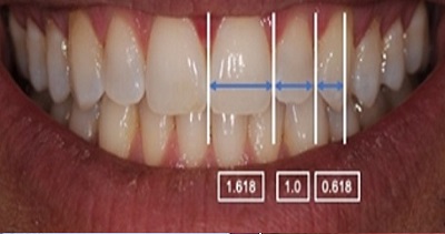
نسبت طلایی Golden Ratio در زیبایی شناسی دندانپزشکی AestheDental برای ارزیابی نسبت دندان:

عوامل زیادی در نسبت دندان های قدامی نقش دارند. چرخش دندان، فاصله، همپوشانی و سایر موقعیت‌های ناهماهنگی می‌تواند بر ظاهر دندان فرونتال تأثیر منفی بگذارد. نسبت طلایی واقعی دندان های قدامی - ثنایای مرکزی: ثنایای جانبی: نیش - به ترتیب نسبت 1.618: 1.0: 0.618 را ایجاد می کند. ایجاد دندان های قدامی زیبا و لبخندهای دلنشین هدف دندانپزشکی ترمیمی است. همانطور که ترمیم دندان یک قطعه مهم است، زیبایی به ظاهر کلی صورت بیمار مربوط می شود. مفاهیم و تکنیک های متعددی برای دستیابی به موفقیت در دندانپزشکی زیبایی ترمیمی مورد بررسی قرار گرفته است. نسبت طلایی یکی از این مفاهیم است که بارها در ادبیات دندانپزشکی توضیح داده شده است. از نظر مفهومی، این نسبت در ایجاد طراحی متناسب شایستگی دارد، اما در کاربرد، با تفاوت‌های طبیعی که در ردیف و ظاهر دندان‌های بیماران وجود دارد، محدود می‌شود.

centered image


لبخند طلایی و رابطه آن با نسبت طلایی Golden Ratio:

در زیبایی لبخند، قانون مهمی وجود دارد به نام (قانون طلایی ) که دندانپزشکان زیبایی شناسی آن را (نسبت طلایی ) می نامند. این معیار یکی از خصوصیات یک لبخند زیبا به شمار می رود. نسبت طلایی می گوید وقتی شما لبخند می زنید، هر دندان باید قدش 1/618 برابر قد دندان عقبی اش دیده شود. یعنی اگر دندان جلویی کناری شما یعنی دندان دومی شما طولش 1باشد باید دندان جلویی میانی شما طولش 618/1 و دندان نیشتان قدش حدود 0/618 دیده شود. البته این نسبتها وقتی محاسبه می شود که شما از روبرو به کسی لبخند می زنید و علت آن هم قانون پرسپکتیو است. یعنی در واقع دندانهایی که به درستی درون قوس فکی ردیف شده باشند، به این ترتیب به نظر می آیند.

centered image


رابطه لبها و دندانها متناسب با ارزیابی نسبت طلایی Golden Ratio

درهنگام خندیدن اگر مقدار زیادی از لثه ها دهان دیده شوند ، لبخند لثه ای به شمار می آید که زیبایی لبخند شما را تهدید می کند. در حالت عادی کسانی که لبخند زیبایی دارند هنگامی که لبخند می زنند، بخش فوقانی لب بالای آنها در تماس با محل رویش دندا نها از درون لثه قرار می گیرد و تقریبا مقدار اندکی از لثه های فک بالایشان پیدا می شود. وقتی شما لبخند می زنید فقط نیمی و یا کمتر از دندان های فک بالایتان پدیدار می شوند در این صورت هم لبخند شما از نظر زیبایی چندان با یک لبخند زیبا منطبق نخواهد بود. البته داشتن ریش و سبیل و داشتن لبهایی بزرگ و پهن و حتی بالا رفتن سن باعث می شوند که هنگام لبخند زدن بخش کمتری از دندا نهای شما از قاب لبخندتان رویت شوند. از طرف دیگر نوک دندانهای بالایی شما در یک لبخند زیبا باید در تماس با لبهای پایینیتان قرار گیرند. البته وقتی سن خانمها بالا می رود معمولا لبها کمی شل شده و پایین می افتند و باعث می شود که مقدار بیشتری از دندانهای پایینی دیده شود.

centered image


بررسی تعداد دندان های که در حال خندیدن نمایش داده می شود برای محاسبه در معادلات نسبته طلایی Golden Ratio؟

در یک لبخند طبیعی و زیبا، 6 دندان قدامی و آسیای کوچک فک بالا دیده می شوند. در بعضی از افراد فقط شش دندان قدامی، در بعضی از افراد دیگر شش دندان قدامی و آسیای کوچک و در بعضی از افراد شش دندان قدامی و آسیای کوچک اول و آسیای کوچک دوم و در افرادی هم علاوه بر این دندانها دندانهای آسیای بزرگ اول هم دیده می شوند.

centered image


نسبت طلایی Golden Ratio و رابطه آن با لب ها

زیبایی در لبخند برای ما یعنی هارمونی در عضلات صورت و قرینگی در حالت عادی و انقباضات حین لبخند است. از نمای روبه رو در نسبت طلایی، گوشه‌ی لب در حالت عادی وسط قرنیه ی دو چشم می‌باشد و گوشه ی پره‌ی بینی به موازات گوشه‌ی داخلی چشم باشد. در 1/3 تحتانی صورت هارمونی در آن است که فاصله ی لب پایین تا چانه 2/3 اندازه ی تحتانی صورت باشد و فاصله لب تا پایین بینی 1/3 اندازه ی تحتانی صورت باشد. در هارمونی لب بالا باید برجسته باشد و کمان کوپید داشته باشد و حدود 1 تا 2 میلیمتر جلو زده‌تر از لب پایین باشد و لب پایین یک و نیم برابر ضخیم‌تر از لب بالا باشد. پلن آکلوزال یا خط جونده بین دندانی باید موازی با خط وسط دو مردمک چشم باشد.

centered image


اصول طراحي زیبایی شناسی لبخند را در هارموني دندان ها را ميتوان به چهار قسمت تقسيم نمود:

1 - اصول زيبايي فاشيال كه شامل توجهات صورتي وعضلاني بيمار ميشود و از فردي تا فرد ديگر متغير است. 2 - اصول زيبايي ژينژيوال: كه شامل اصول مربوط به سلامت و ظاهر لثه ميباشد. 3 - اصول ميكرواستتيك شامل آناتومي دندانهاي قدامي طبيعي خاص همان دندان و محل آن در قوس دنداني ميباشد. 4 - اصول ماكرواستتيك كه در گروهبندي دندانهاي منفرد مدنظر قرار ميگيرد و روابط بين دندانهاي قدامي و دندانهاي اطراف آن را تحليل مي نمايد. در حقيقت اين اصول رابطه بين دندانها و دندانهاي نرم اطراف و خصوصيات فرد را تعيين ميكند. از ميان اين عوامل اندازه، شكل و نظم دندانهاي قدامي ماگزيلا بخصوص دندانهاي سنترال بالا مهمترين عوامل تاثيرگذار در هارموني دندانهاي قدامي هستند، با اين حال اطلاعات علمي براي ارزيابي اين نماي مرفولوژيك دنداني، اندك ميباشند. يكي از شاخصها، ايجاد نسبت هندسي و رياضي بين عرض(بعد مزيوديستال) دندانهاي قدامي بالاست كه به صورت نسبت طلايي (proportion Golden (مطرح ميگردد.

centered image


ترکیب تکرار شونده بین عرض دندان ها و رابطه نسبت طلايي Golden Ratio آن در زیبایی شناسی AestheDental دندان پزشکی

يك تركيب مناسب تكرار شونده بين عرض دندان لترال نسبت به عرض دندان سنترال و عرض دندان كانين نسبت به عرض دندان لترال وجود دارد و از نسبت طلايي در زیبایی شناسی دندان پزشکی استفاده می شود. استفاده از يك بعد دندان برای كاربرد در زمينه هاي مرفوژنيك كافي نيست و بايد نسبت هاي چندتايي بين ابعاد دندان استفاده شود. نسبت طلايي بين دندانها از آن براي بازسازي دنتوفاسيال استفاده كردند و معتقد بودند كه در پهناي قدامي از نماي روبرو نسبت طلايي وجود دارد و در حقيقت كاربرد اين نسبت ايجاد يك شبكه براي بررسي سگمان قدامي را تسهيل ميكند.

centered image


نسبت طلایی Golden Ratio در زیبایی شناسی دندان پزشکی Aesthetics برای ارزیابی نسبت دندان

ایجاد دندان های قدامی زیبا و لبخندهای دلنشین هدف زیبایی شناسی دندان پزشکی است. همانطور که ترمیم دندان یک قطعه مهم است، زیبایی به ظاهر کلی صورت بیمار مربوط می شود. یعنی دندان ها چقدر در تصویر بزرگ صورت بیمار جا می گیرند؟ مطالعات، مفاهیم و تکنیک های متعددی برای دستیابی به موفقیت در دندانپزشکی زیبایی ترمیمی اعمال و شرح داده شده است. درصد طلایی یکی از این مفاهیم است که بارها در ادبیات دندانپزشکی توضیح داده شده است. از نظر مفهومی، این نسبت در ایجاد طراحی متناسب شایستگی دارد، اما در کاربرد، با تفاوت‌های طبیعی که در ردیف و ظاهر دندان‌های بیماران وجود دارد، محدود می‌شود. نسبت طلایی واقعی دندان های قدامی - ثنایای مرکزی: ثنایای جانبی: نیش - به ترتیب نسبت 1.618: 1.0: 0.618 را ایجاد می کند. اگرچه این نسبت برای چشم خوشایند است، اما نقطه ضعف آن این است که نمایانگر ظاهر یک طرفه است. به دلیل تنوع و عدم تقارن طبیعی که در بیماران از سمت چپ به سمت راست رخ می دهد. عوامل زیادی در نسبت دندان های مشاهده شده در دندان های قدامی نقش دارند. چرخش دندان، فاصله، همپوشانی و سایر موقعیت‌های ناهماهنگی می‌تواند بر ظاهر دندان فرونتال تأثیر منفی بگذارد.

centered image


نسبت طلایی و کاربرد آن در زیبایی شناسی دندان

لبخند جذاب به عنوان دلیلی بر این امر است که دندان های موجود در پروتز بر اساس اصل نسبت طلایی قرار دارند.

تناسب، نسبت معینی است که بین اجزاء وجود دارد و تناسب طلایی به معنای همبستگی مناسب اجزاء در میان خود است.

دنباله فیبوناچی، در برخی از تقسیم‌بندی عبارت آن بر قبلی، عدد غیرمنطقی 1,61803398875..، معروف به فیبوناچی دریافت می‌شود. این در نوع تقریبی و کاهش یافته به عنوان F = 1618 یا phi = 0618 استفاده می شود.

فیبوناچی همچنین یک عدد متناسب دارد (...3:2، 5:3، 8:5، 13:8...)، که در آن صورت‌ مجموع دو عدد قبلی را در دنباله فیبوناچی نشان می‌دهد. دو عدد دنباله فیبوناچی F = 1,618 یا 0,618 = F ثابت های یک دنباله را نشان می دهد.

دندان های مجزا با یک اصل نسبت طلایی با یکدیگر مرتبط هستند. داده های ذکر شده در دندانپزشکی زیبایی در هنگام بازسازی دندان ضروری است. ارتفاع دندان‌های ثنایای جانبی با اصل نسبت طلایی با عرض دندان‌های ثنایای جانبی مطابقت دارد.

این واقعیت به تصمیم گیری بسیاری از مشکلات زیبایی شناختی کمک کرده است. با دانستن عرض، به راحتی می توان ارتفاع را محاسبه کرد و بالعکس.


centered image



اصل نسبت طلایی در ارتباط با دندان مصنوعی شامل موارد زیر است:

دندانهای ثنایای جانبی کمی کوتاهتر و نازکتر از دندانهای ثنایای مرکزی هستند.

عرض و طول هر دندان توسط کولیس دیجیتالی اندازه گیری می شود و برای هر بیمار به طور جداگانه محاسبه می شود.

طبق یک نسبت طلایی ، دندان‌های جلویی به‌عنوان بخشی از ظاهر فرد، نسبت خاصی به یکدیگر دارند.

کلید اصلی برای توصیف و ساخت چهار دندان ثنایا و دو دندان نیش اندازه (که به عنوان واحد پذیرفته می شود) عرض یک قطعه کوچک از قوس دندان یا یک ثنایای جانبی را در نظر می گیرد.

بر اساس عرض ثنایای جانبی، با فرمول نسبت طلایی ، عرض ثنایای مرکزی و نیش و همچنین طول یک قسمت جلویی قوس دندانی و برعکس در صورت طول تشکیل می‌شود. یک قسمت جلویی قوس دندانی شناخته شده است، برای دستیابی به یک وضعیت زیبایی شناختی ایده آل با یک اصل نسبت طلایی تعریف شده است.


centered image