فرم پرسش: بهترین ساختار دندان ها برای لبخند زیبا Question form: The best tooth structure for a beautiful smile

یکی از مهمترین عامل زیبایی چهره و صورت داشتن لبخند و دندان ها‌ زیبایی می باشد که جزئی انکار ناپذیر در زیبایی چهره هر فرد هستند.

علاوه بر اثر لبخند زیبا بر جذابیت چهره، دندان‌ها بر تن صدا، نحوه‌ی ادای کلمات و یکدست بودن گونه‌ها و دیگر نواحی صورت اثرگذار هستند. با اصلاح طرح لبخند و حل مشکلات دندان‌ها می‌توانید زیبایی چهره خود را تا حد بالایی بهبود ببخشید.

چه پرسش هایی در رابطه زیبایی شناسی چهره خودتان بر مبنای لبخند و دندان در ذهن شما می باشد؟




۱- آیا دندان های از دست رفته دارید؟

centerImage






بلی



    



خیر



۲- آیا بین دندان های شما فاصله وجود دارد؟

centerImage






بلی



    



خیر



۳- آیا لثه های شما بیش از حد خود را نشان می دهند؟

centerImage






بلی



    



خیر



4- آیا دندان های شما لبه های ناهموار دارند؟

centerImage






بلی



    



خیر



5- آیا دندان های شما خیلی کوتاه به نظر می رسند؟

centerImage






بلی



    



خیر



6- آیا شکل دندان های شما نامناسب است یا نامتقارن؟

centerImage






بلی



    



خیر



7- آیا پرکردگی های قدیمی دارید که دهانتان را زشت کرده اند؟

centerImage






بلی



    



خیر



8- آیا دندان‌های کج دارید؟

centerImage






بلی



    



خیر



9- آیا دندان‌های لکه‌دار دارید؟

centerImage






بلی



    



خیر



10- آیا دندان‌های شکسته یا ناقص دارید؟

centerImage






بلی



    



خیر



11- آیا پوسیدگی دندان دارید؟

centerImage






بلی



    



خیر



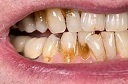
12- آیا بیماری لثه دارید؟

centerImage






بلی



    



خیر



13- آیا دندان های شما تیره یا لکه دار هستند؟

centerImage






بلی



    



خیر



14- آیا دندان های شما فرسوده شده است؟

centerImage






بلی



    



خیر



15- آیا دندان های شما خیلی بزرگ یا خیلی کوچک به نظر می رسند ؟

centerImage






بلی



    



خیر



16- آیا وقتی لبخند می زنید دندان ها شما سیاه به نظر می رسد؟

centerImage






بلی



    



خیر



17- آیا دندان های شما به اندازه کافی سفید هستند؟

centerImage






بلی



    



خیر



18- آیا هنگام خندیدن ، با دست جلوی دهان را می گیرید؟

centerImage






بلی



    



خیر



لطفا به تمامی پرسش ها در قالب (بلی یا خیر) پاسخ دهید سپس ایکون را فشار دهید!!!!!!! (!Click Me)
!Click Me